Přejít na hlavní navigaci Přejít na změnu jazyku Přejít na vyhledávání


  • Podloží: Perm
  • Geomorfologické řazení: Meziměstská vrchovina
  • Katastrální území: Rožmitál
  • Obec: Broumov
  • GPS: 50°36'56.776"N, 16°22'22.418"E (zobrazit na mapě)

GPS souřadnice:
50°36'56,776"N
16°22'22,418"E

Lom Rožmitál u Broumova NS

Přírodní učebnice vulkanologie i ekologie vás seznámí s neobvyklými úkazy velmi vzdálené i zcela nedávné minulosti.

Tato významná geologická lokalita představuje nejen geoturistickou zajímavost (geotop) jako naleziště primárních minerálů a fosilií, a významný studijní profil, ale má také regionálně-geologický význam například pro detailnější geologické mapování. Ve Starém lomu na Homoli byla těžba ukončena v roce 2000, a následně v roce 2008 se projekt „Starý lom – Homole“ na obnovu vytěženého území stal jedním z finalistů soutěže Zelený most – o nejlepší revitalizační projekt ČR 2008. V rámci projektu byla vybudována naučná stezka ochrany přírody se sedmi tematickými zastaveními, které návštěvníka seznámí s přirozenou ekologickou obnovou území po těžbě.

Ukončené i probíhající těžební práce zde na rozsáhlých profilech odkrývají lávové proudy výlevných andezitoidních hornin současně s mocnými vrstvami různorodých pyroklastických sedimentů (úlomkovitých sopečných produktů - tufů, vulkanických brekcií apod.). Zajímavým obsahem zmíněných pyroklastických hornin jsou například tzv. akreční lapilli – drobné kuličkovité útvary vzniklé nabalením vulkanického popela na vodní kapky uvnitř sopečného mraku. Primárními minerály, které je možné v místních vulkanitech nalézt, jsou například malachit, azurit, limonit, baryt, sulfidy a oxidy Cu, vzácně i ryzí Cu. Ve stropu andezitoidového příkrovu se nacházejí fosilní mlži. Zčásti masivní, zčásti mandlovcovité melafyry (bazaltandezity) jsou v horní části většinou rozpraskané se záteky sedimentů (prachovce, někdy pískovce).

Těžební práce v tzv. severním lomu i technologickou linku na úpravu drceného kameniva provozuje Zemědělské družstvo Šonov u Broumova. Lom je v provozu od roku 1965 a produkuje lomový kámen, štěrkodrtě a hrubé drcené a tříděné kamenivo, zejména pro stavební účely a jako posypový materiál. Při návštěvě lokality, jejíž součástí je i tento funkční lom s probíhajícími těžebními a přepravními pracemi, je třeba dodržovat obecná i místní bezpečnostní pravidla. Dbát zvýšené opatrnosti doporučujeme vzhledem k rozvolněnosti zachovalých skalních stěn a výchozů i při exkurzi volně přístupného Starého lomu Homole po naučné stezce.

Z archivního materiálu vypracoval: Stanislav Stařík

Brožurku Průvodce naučnou stezkou si můžete stáhnout ZDE

Další informace:
http://lokality.geology.cz/1865

 

Popisy typických hornin:
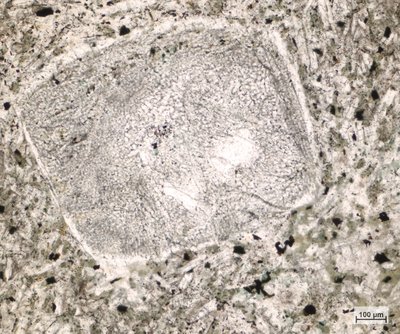
Andezit

Makroskopicky tmavošedá hornina s tmavozeleným nádechem, kompaktní textury. V hornině jsou patrné hedvábně lesklé mm tabulky pyroxenu a větší až 2–3 mm lupínky biotitu (?) a bílé až 5 mm tabulky živce (?). Úlomky horniny nepatrně zvoní. Mikroskopicky je hornina porfyrická s trachytickou strukturou základní hmoty. Porfyrické vyrostlice tvoří lišty plagioklasu, velké až 3 mm, ojediněle též rozloženého pyroxenu, přeměněného na jílovito-chloritovou hmotu. Přítomny jsou poměrně velké krystaly magnetitu, velké až 0.05 mm. Základní hmota je tvořena drobnými lištami plagioklasu, na koncích rozeklanými. Prostor mezi nimi je vyplněn rozpadlým pyroxenem, limonitem, hematitem a drobnými opakními minerály.

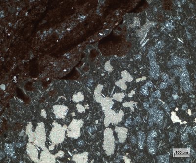
Andezitový vulkanický tuf s akrečními lapilli

Makroskopicky kompaktní hornina tmavofialové barvy. V jemnozrnné základní hmotě neuspořádaně plavou až 1 mm velké světlé ostrohranné klasty. Mikroskopicky je hornina složena z jemných lapillových částic kulového tvaru a jejich detritických úlomků, velikosti do 4 mm. Výplň částic je stejná jako ostatní základní hmota. Dále jsou přítomny klasty živce a křemene, velikosti do 0.5 mm a ostrohranné úlomky vulkanitů až 3 mm velké. Jemnozrnná matrix je složena z rozložených živců, křemene a jsou v ní přítomny střípky skla sopečného popela. Je silně zabarvena Fe oxidy. Jedná se zde o napadávky freatomagmatické erupce, tj. explozivní erupce s kontaktem vody.

Lapillovec (vulkanická brekcie)

Šedorůžová hrubozrnná hornina s různě velkými ostrohrannými klasty, růžové, šedé a bělavé barvy, velikosti až 1 cm. Klasty jsou obklopeny jemnozrnnou hmotou. Úlomky horniny slabě zvoní. Hornina je složena z ostrohranných několik mm velkých jemnozrnných úlomků vulkanických hornin. K nim se ojediněle přidávají cca 0.25 mm velké klasty živců. Samotné úlomky jsou alterované, některé polámané. Jedná se o středně vytříděný matriál s podpůrnou strukturou zrn, tmelený sekundárním karbonátem. Spojeny jsou jemnozrnnou matrix, zčásti křemennou, zčásti karbonátovou, silně zbarvenou limonitem.

Petrografický popis: RNDr. Tamara Sidorinová (ČGS), RNDr. Zuzana Tasáryová, Ph.D. (ČGS), Mgr. Vladislav Rapprich (ČGS)


Fotografie: Stanislav Stařík
Mikrofotografie: RNDr. Tamara Sidorinová, ČGS

Virtuální exkurze Naučnou stezkou ZDE.

 

 

Vyhledat místo


CZ